Иногда человек садится в кресло и спокойно говорит: «С зубами вроде всё нормально, но челюсть устаёт, голова ломит, ночью скриплю…». Именно с таких фраз чаще всего начинается путь к нормальному прикусу и здоровому височно-нижнечелюстному суставу. Меня зовут Константин Андреевич Курочкин, я врач-ортопед высшей категории, гнатолог, кандидат медицинских наук. 21+ лет я восстанавливаю зубы и сустав через протезирование, сплинт-терапию и точную диагностику. В сложных случаях работаю командой: хирург-имплантолог Александр Васильев, терапевт-эндодонтист Кирилл Якимов, ортопед Виктор Рогов. Мы берёмся за то, что другие называют «слишком сложно», но разбиваем задачу на понятные шаги.
Я понимаю, что мысль о каппах, шинах, лечении ВНЧС или даже полной имплантации может тревожить. Поэтому ниже — без академизма и страшилок. Только факты, примеры из практики и честный ответ на главный вопрос: когда обратиться к гнатологу.
Когда обратиться к гнатологу: явные и «маскированные» сигналы
Часть симптомов легко узнать, часть прячется под видом «шеи», «мигрени» или «стоматологических мелочей». Вопрос «когда обратиться к гнатологу» чаще всего всплывает в этих ситуациях:
Прямые признаки
- Боль, усталость, щелчки в челюсти; ограничение открывания рта; «закусываю щёку/язык».
- Утренняя болезненность жевательных мышц, стираемость зубов, трещины эмали, сколы пломб.
- Скрежет во сне, партнёр слышит ночные «стуки».
- Звон в ушах, закладывание ушей без явной ЛОР-причины.
- Регулярные головные боли напряжения, особенно после длительных разговоров/жевания.

Косвенные сигналы, о которых часто не думают
- «Мигрени», не реагирующие на привычные препараты (а на самом деле — мышечно-суставное).
- Клиновидные дефекты, рецессии дёсен при «идеальной гигиене».
- Трудности с подбором высоты пломбы или коронки — то «мешает», то «не достаёт».
- Быстрая усталость при пережёвывании салата, орехов, мясa.
- Регулярное чувство «песка» в суставе, утренний «зажим».

Короткая памятка-таблица
| Симптом | Что это может значить | Что делаю на приёме |
|---|---|---|
| Щелчок при открывании | Диско-кондилярная дисфункция ВНЧС | Функц. тесты, КЛКТ/МРТ ВНЧС по показаниям, шина |
| Утренняя боль, скрежет | Ночной бруксизм/кленчинг | Диагностическая шина, TENS-релаксация, коррекция окклюзии |
| Стираемость, сколы | Перегрузка, низкая высота прикуса | Реорганизующее протезирование, цифровое планирование |
| «Мигрени», утомляемость | Миофасциальный компонент | Шина + работа с триггерными зонами, реабилитация |
| Щёлкает и «закусывает» | Подвывих ВНЧС, гипермобильность | Неотложные рекомендации, мягкая стабилизация, каппа |
В каких случаях нужен гнатолог, а в каких — ортодонт?
Нормальный вопрос: кому идти первым? Грубо: ортодонт выравнивает зубы и дуги с помощью аппаратов (брекеты, например), гнатолог настраивает «механику» — сустав, мышцы и окклюзию. Часто работаем вместе.
- Когда идти к гнатологу в первую очередь: щелчки, боль, ограничение открывания, «закусывание», неудачи с «подгонкой» пломб/коронок, стираемость.
- Когда нужен ортодонт в первую очередь: теснота, щели, эстетика положения зубов без выраженных суставных жалоб.
- Идеально — командный план: стабилизация сустава → ортодонтия → финальная коррекция окклюзии протезированием/шиной.

Синонимы, которые пациенты используют и которые уместны: когда нужен гнатолог, в каких случаях нужен гнатолог, когда показана консультация гнатолога, повод записаться к гнатологу, когда стоит обратиться к специалисту по ВНЧС.
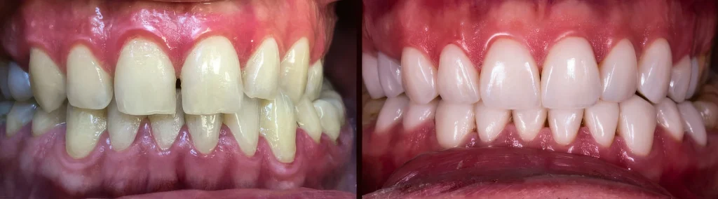
Начните путь к идеальной улыбке с моей консультации!
Доктор Курочкина Константина Андреевича – стоматолог-ортопед высшей категории, гнатолог 20+ лет практики, приглашает Вас на очную консультацию с уникальной диагностикой.
Ваш персональный пакет очного приёма включает:
- 3D-диагностику прикуса + виртуальный сетап улыбки
- Прорабатывает вектор изменения эстетики улыбки при помощи ИИ-технологий, Smile VR и Digital Smile Design
- Составление индивидуального плана лечения
Диагностика без стресса: как проходит первая встреча
Я за то, чтобы всё было прозрачно и спокойно. Первая консультация — не про «делаем всё и сразу», а про понимание причин.
Что входит в мой диагностический алгоритм
- Разговор: ваши жалобы, триггеры, утренние ощущения, привычки сна, стресс, спорт, работа за ноутбуком (поза).
- Осмотр и функциональные тесты: амплитуда движения, траектории нижней челюсти, мышечные точки.
- Окклюзионная оценка: контактные зоны, преждевременные контакты, «коронки мешают» — проверим.
- Цифровое моделирование: делаем фото/сканы, при необходимости создаём «цифровой двойник» вашей улыбки и лицевого профиля, чтобы визуально показать, что и как изменится после коррекции. Инструменты наподобие SmileVR/DSD помогают прогнозировать результат и вовлекают вас в решение — это спокойнее и честнее.
- Лучевая диагностика (по показаниям): 3D-КТ, МРТ ВНЧС — если нужны мягкотканные данные по диску.
- Диагностическая шина (при болевом компоненте): ночная/вечерняя релаксация мышц, контроль симптомов.
- При необходимости — TENS-миорелаксация, короткая физиотерапия.
Если сомневаетесь, когда показана консультация гнатолога, начните с диагностики: мы поймём, что даст реальную пользу.

Лечение: всегда даю три пути — щадящий, рациональный и радикальный
Я никогда не «толкаю» пациента к одному варианту. У каждого — своя жизнь, задачи, бюджет, терпимость к изменениям. Поэтому стандартно предлагаю три сценария.
Щадящий путь
- Индивидуальная окклюзионная шина/каппа, ночной режим.
- Поведенческие протоколы: сон, поза, осознанный отказ от дневного «скрежета», «язык на нёбе» (устойчивое положение).
- Прицельная корректировка контактных точек, если мешают единичные коронки/пломбы.
- Курс мягкой миорелаксации.
Минусы: не исправляет глобально высоту прикуса и износ.

Рациональный путь
- Стабилизация сустава шиной → ортодонтическая коррекция (если показана) → микропротезирование/коронки для восстановления высоты и эстетики.
- Цифровое планирование финишной окклюзии.
Минусы: поэтапно, нужна дисциплина.

Радикальный путь
- В случаях тотальной стираемости, множества утраченных зубов, выраженной адентии — полная реабилитация на имплантах с немедленной или отсроченной нагрузкой, последующее протезирование несъёмными конструкциями. Здесь протез — как новый фундамент дома: на правильной высоте, с опорой на кость, с продуманной окклюзией.
Плюсы: быстрый функциональный и эстетический результат, снимаются хронические перегрузки.
Минусы: выше стоимость и инвазивность; готовим тщательно.
Именно на стыке гнатологии и протезирования удаётся убрать не только «щелчок», но и вернуть радость от еды и общения. И да, знаю, что полная имплантация звучит пугающе, но в реальности это путь к новой жизни — при правильном планировании.

Работа с ВНЧС через протезирование
Почему протез — как новый фундамент дома? Потому что с правильной высотой и контактами мышцы перестают «спотыкаться» о преждевременные точки. Иногда когда показана консультация гнатолога, достаточна шина; иногда нужен «фундамент» — реорганизующее протезирование. Я заранее моделирую высоту в цифровой среде и показываю её на мокапах — вы видите, как будет «стоять» челюсть.
Современные технологии: что изменилось за последние годы
За последние годы в арсенале гнатолога и смежных специалистов стало больше точности и предсказуемости:
- Цифровое планирование лечения: виртуальные «прогонки» движений челюсти, моделирование высоты прикуса в 3D, цифровой дизайн улыбки (DSD/SmileVR) — пациент видит цель до начала работ.
- Навигационная хирургия в имплантации: хирургические шаблоны, аккуратная установка, меньше травмы, быстрее реабилитация.
- CAD/CAM-протезирование: роботизированное фрезерование и печать, точная посадка, предсказуемая окклюзия.
- Материалы нового поколения: цирконий высокой прочности, керамокомпозиты на титановом каркасе — комфортнее «родных» разрушенных зубов по ощущению, при правильной высоте.
- Имплант-системы с ускоренной остеоинтеграцией (например, покрытия, которые помогают кости «принимать» имплант быстрее) — полезно, когда делаем немедленную нагрузку и важна стабильность.

Эти вещи — не про «моду», а про ваш комфорт и ресурс суставов. Поэтому, если размышляете, когда стоит обратиться к специалисту по ВНЧС, помните: сегодня мы можем работать мягче, быстрее и предсказуемее.
Выбор имплантационных систем (Nobel Biocare, Straumann, Neodent, Dentium)
Часто спрашивают, когда нужен гнатолог, а когда хватит «просто» имплантов. Отвечаю: система имплантов — лишь инструмент, а ключ — в планировании и прикусе. Я работаю с Nobel Biocare, Straumann, Neodent и Dentium. У премиальных систем (как у Straumann/Nobel Biocare) — быстрые покрытия для остеоинтеграции и протоколы Pro Arch/All-on-4; у Neodent и Dentium — хорошее соотношение цена/стабильность. Мы выбираем не «бренд по умолчанию», а то, что даст вашим суставам и мышцам комфорт при нужной высоте.

Сравнение шин и капп: что помогает, а что нет
| Решение | Для чего | Плюсы | Минусы/Когда не подойдёт |
|---|---|---|---|
| Аптечная каппа | Разово снизить стираемость | Дёшево, быстро | Плохая посадка, не лечит причину, может усилить симптомы |
| Индивидуальная стабилизационная шина | Снять мышечный спазм, защитить зубы, найти «рабочую» высоту | Точно, предсказуемо, диагностично | Нужна дисциплина, контроль, не исправляет положение зубов |
| Шина для дневного ношения (по показаниям) | При сильной боли и дневном «клампинге» | Быстрое облегчение | Эстетика/речь, режим ограниченный |
| Ортодонтическая коррекция | Выравнивание дуг, создание места для правильной окклюзии | Функция+эстетика | Сроки, дисциплина |
| Реорганизующее протезирование | Восстановить высоту, защитить эмаль, создать зону комфорта для ВНЧС | Долгосрочно решает перегрузку | Инвазивнее, требует планирования |

Реальные случаи из практики
Ко мне пришла Марина, 52. После смены двух коронок ощущение «мешают», головная боль к вечеру. По тестам — перегрузка жевательных мышц, преждевременные контакты. Сделали диагностическую шину, одну коррекцию окклюзии и мягкую миорелаксацию. Через две недели: «Голова не болит, сплю лучше, коронки перестали мешать». Это как раз тот сценарий, когда обратиться к гнатологу стоило до повторного перепротезирования — сэкономили нервы и деньги.
Андрей, 28: частое «закусывание», иногда «заедает» при открывании. На МРТ — признаки диско-кондилярной дисфункции ВНЧС. Пошли щадящим путём: стабилизационная шина + обучение «язык на нёбе», работа с позой, лёгкая физиотерапия. Через месяц — щелчок стал реже и тише, «закусываний» нет. Дальше — профилактический режим.
Сергей, 59: стираемые «в ноль» зубы, низкая высота, усталость челюстей. После диагностики выбрали радикальный путь: полная имплантация с немедленной нагрузкой, адаптационные протезы, далее финишные несъёмные конструкции с выверенной окклюзией. «Я почувствовал, что челюсть работает как часы, а не как старый мотор». Это точно тот случай, когда идти к гнатологу вместе с хирургом и ортодонтом — лучший сценарий.

Цифровое моделирование улыбки и участие пациента
Я за прогнозируемость: мы делаем фото/сканы, строим «цифрового двойника» и примеряем будущую высоту. Это снимает тревогу: вы заранее видите, где убирается «щелчок», как распределится нагрузка, и как поменяется профиль улыбки. Такой подход отвечает на вопрос в каких случаях нужен гнатолог: когда функция и эстетика связаны, без цифрового плана легко «перетянуть» в одну сторону. Совет: просите показать проект прикуса, а не только красивый рендер улыбки.
Стоимость: ориентиры и как читать прайс
Сразу честно: итоговая стоимость зависит от состояния кости/дёсен, объёма работ, выбора материала и бренда имплантов/конструкций. Частая ошибка — сравнивать «голые» цифры без понимания, что в них входит.
Ориентиры для комплексных работ на имплантах (за конструкцию на челюсть)
| Решение | Ориентир стоимости* |
|---|---|
| Конструкция из 4 имплантов Nobel Biocare (немедленная нагрузка) | от 160 000 ₽ |
| Конструкция из 6 имплантов Nobel Biocare (немедленная нагрузка) | от 235 000 ₽ |
| Конструкция из 4 имплантов Straumann (Pro Arch) | около 150 000 ₽ |
| Конструкция из 4 имплантов Neodent | около 110 000 ₽ |
| Конструкция из 4 имплантов Dentium | примерно 70 000–80 000 ₽ |
Если задача не в имплантах, а в шинах и локальной коррекции — бюджет заметно ниже; обсуждаем после диагностики.
Понимаю, что цифры волнуют. Поэтому всегда предлагаю план «гуманный/рациональный/радикальный» — вы выбираете темп и бюджет, а я отвечаю за предсказуемость.
Частые ошибки пациентов
Если ловите себя на одном из пунктов — это тот момент, когда обратиться к гнатологу реально выгоднее, чем «подлатать ещё чуть-чуть».

«Щадящий» чек-лист на каждый день
- Следите за позой: экран на уровне глаз, плечи вниз, язык на нёбе — зубы в покое не должны смыкаться.
- Ночью — индивидуальная шина (если рекомендована).
- Стресс — короткие «паузы дыхания» 3–4 раза в день: вдох-пауза-выдох.
- Жвачку — умеренно, орехи — без фанатизма.
- Спать — на удобной подушке, чтобы шея не провоцировала «зажим».

Отзывы
— Жанна, 42 года
— Александр, 35 лет
— Ирина, 58 лет
Гнатолог, ортодонт, хирург: как мы работаем командой
Я веду функциональную часть, гнатологию и протезирование, Мария Волк отвечает за ортодонтию, Александр Васильев — хирургия и имплантация в сложных условиях, Кирилл Якимов — терапия под микроскопом и ортопедия. Такой тандем позволяет не «латать дыры», а строить систему заново — с учётом вашего сустава и привычек. Это особенно важно, когда вопрос «когда обратиться к гнатологу» уже давно висит в воздухе, а вы всё терпите.
Кому срочно к гнатологу
- Резкая боль в суставе, невозможность широко открыть рот.
- «Защёлкивание» с «закусыванием» — рот открывается «на перекос», приходится «ловить» траекторию.
- Быстро нарастающая стираемость, сколы эмали «без причины».
- После травмы нижней челюсти/ударов — для исключения повреждений сустава.
- Перед масштабным протезированием/ортодонтией — чтобы не строить «дом» на шатком фундаменте.
В любом из этих случаев — это именно тот момент, когда обратиться к гнатологу нужно в первую очередь.

Таблица: «сам помогаю» vs «нужен специалист»
| Ситуация | Что можно сделать самому | Когда нужен специалист |
|---|---|---|
| Лёгкая утренняя усталость | Поза, «язык на нёбе», лимит жвачки | Если держится >2 недель или есть щелчок/боль |
| Единичный «мешающий» бугорок | Не «стачивать» дома, беречь зуб | Записаться на коррекцию контактов |
| Эпизодический стресс-скрежет | Дыхательные паузы, тепло на мышцы | Ночная шина, если повторяется |
| Стираемость/сколы | Не грызть твёрдое, беречь эмаль | Диагностика, план восстановления высоты |
| Щелчок с болью | Самопомощь ограничена | Срочно к гнатологу/МРТ по показаниям |
Как подготовиться к консультации
- Вспомните, когда сильнее проявляются симптомы (утро/вечер, стресс/сон).
- Сфотографируйте «мешающие» места на зубах, запишите ощущения.
- Возьмите снимки/КТ/МРТ, если они уже есть.
- Список лекарств и хронических заболеваний.
- Сформулируйте, чего хотите изменить в первую очередь: убрать боль? улучшить жевание? эстетика?
Так мы не будем блуждать, а соберём план под ваши цели и жизнь.

Короткий FAQ
Шина «испортит прикус»? Нет. Индивидуальная стабилизационная шина — диагностический и лечебный инструмент. Она защищает зубы и мышцы, а не меняет прикус «сама по себе». Изменения мы делаем осознанно — ортодонтией/протезированием.
Больно ли лечить ВНЧС? Нет. Осмотр и шины — комфортны, ортодонтию и протезирование делаем с анестезией и цифровым планом.
Сколько носить шину? Индивидуально. У кого-то — 4–6 недель, у кого-то — «ночной режим» как привычная защита при стрессе.
Всегда ли нужны импланты? Нет. Импланты — инструмент для случаев, где зубов не хватает или высоту нужно надёжно восстановить. В лёгких и средних случаях достаточно шины, коррекции и локального протезирования.
Заключение — и главный вопрос
Если вы дочитали до этого места, значит, тема вас действительно волнует. Ответ на вопрос «когда обратиться к гнатологу» прост: когда что-то мешает жить спокойно — боль, щелчки, утренний спазм, сколы, усталость от жевания, провалы в комфорте после «идеальной» пломбы. Чем раньше мы поймём причину, тем меньше вмешательства, быстрее результат и ниже стоимость.
Готовы ли вы улыбаться и жевать без стеснения и боли? Запишитесь на консультацию — я спокойно объясню, что у вас происходит, покажу варианты на понятных моделях и предложу три пути на ваш выбор: щадящий, рациональный или радикальный. Мы рядом: с эмпатией, аккуратно, по плану.