Я — Константин Андреевич Курочкин, стоматолог-ортопед высшей категории и гнатолог, кандидат медицинских наук. Более 21 года занимаюсь реабилитацией сложных пациентов: от «обычной» боли в суставе и головных болей до ночного бруксизма и тотальной стираемости. Чаще всего ко мне приходят с заболеваниями височно-нижнечелюстного сустава (ВНЧС): щелчками, зажимами, дискомфортом при жевании. Работаю командой: Виктор Рогов — стоматолог-ортопед, Татьяна Варламова — терапевт. Объясняем просто, как в дружеской беседе, но опираемся на точную диагностику, цифровое моделирование и проверенные протоколы.
Знаю, само слово «сустав» тревожит: «Надолго? Больно? Дорого?». Спокойно: заболевания ВНЧС — не приговор, а инженерная задача с понятным планом. Как с домом: если фундамент гуляет, мы не красим стены, а укрепляем основание. В стоматологии этот фундамент — прикус, зубы, мышцы и сам сустав. Протез — как новый фундамент дома: верно рассчитанные нагрузки и материалы — и «дом» служит десятилетиями. На консультации я показываю, что реально повышает риски, как вовремя их поймать и какие пути лечения выбрать — обычно предлагаю три маршрута: щадящий, рациональный и радикальный.
Что я называю «заболеваниями ВНЧС» и зачем это знать
Когда говорю «заболевания ВНЧС», имею в виду весь спектр: дисфункции, ТМЖ-расстройства (TMJ расстройства височно-нижнечелюстного сустава), болевой синдром, нарушения работы сустава. Слова разные, суть одна: биомеханика системы «зубы — сустав — мышцы — осанка — дыхание» сбивается, и сустав начинает «жить» не по своим правилам.
Короткая карта рисков: что и где перегружает сустав
| Тип фактора | Примеры | Что делает с суставом | 
|---|---|---|
| Немодифицируемые | Генетика формы челюстей, особенности роста, возрастные изменения диска | Задают «исходные условия» биомеханики | 
| Модифицируемые | Потеря зубов, бруксизм, парафункции днём, стресс, недосып, осанка «голова вперёд», ротовое дыхание, храп, плохая эргономика рабочего места, изношенные пломбы/коронки | Меняют траектории движения, перегружают сустав и мышцы | 
| Ятрогенные (последствия некачественного лечения) | Высокие пломбы, «короткие» коронки, протезирование без учёта сустава, ортодонтия без гнатологии | Создают ранние контакты, микротравмируют суставные диск и капсулу | 

Начните путь к идеальной улыбке с моей консультации!
Доктор Курочкина Константина Андреевича – стоматолог-ортопед высшей категории, гнатолог 20+ лет практики, приглашает Вас на очную консультацию с уникальной диагностикой.
Ваш персональный пакет очного приёма включает:
- 3D-диагностику прикуса + виртуальный сетап улыбки
 - Прорабатывает вектор изменения эстетики улыбки при помощи ИИ-технологий, Smile VR и Digital Smile Design
 - Составление индивидуального плана лечения
 
            Немодифицируемые факторы: генетика и строение
Да, наследственность есть. Если у родителей был II класс по Энглю (дистальный прикус), узкая верхняя челюсть, ретрузия (смещение зубов в сторону языка), микрогнатия (недоразвитие челюсти) — у ребёнка выше шанс, что заболевания ВНЧС проявятся раньше. Но это старт, а не судьба. Мы умеем рано «поймать» предпосылки: мягкая ортодонтическая коррекция роста, миофункциональная терапия, бережная работа с дыханием и осанкой.

Важно: я всегда объясняю, какие элементы стоит поддержать сейчас, чтобы потом не «чинить фундамент».
Модифицируемые факторы: то, что можно (и нужно) менять
Потеря зубов и «провал» прикуса
Один отсутствующий моляр — и нагрузка перекраивается. Соседние зубы мигрируют, прикус уплощается, сустав ищет новую траекторию, а мышцы живут в режиме компенсации.

Стираемость и уставшие реставрации
«Короткие» коронки, старые пломбы, снятая высота — скрытые драйверы расстройств ВНЧС. Ночью мозг «подкручивает» высоту скрежетом — получается замкнутый круг.
Парафункции и стресс
Стискивание за рулём, в спорте, при переписке, «схватил телефон — сжал зубы» — знакомо? Парафункции днём и бруксизм ночью — прямой путь к проблемам ВНЧС. Недосып усиливает сценарий.
Осанка и дыхание
«Голова вперёд», округлые плечи, ротовое дыхание, храп — всё это меняет положение нижней челюсти и тонус языка. Связка «язык — шея — диафрагма» очень тонко влияет на сустав.

Гормональные и системные факторы
Колебания эстрогенов, аутоиммунные заболевания, гипермобильность соединительной ткани, артриты — снижают устойчивость связок и диска, ускоряют износ.
Травмы и перегрузки: где «щёлкнуло» — там и стартовало
Ушибы, падения, «хлыстовые» травмы шеи, длительные процедуры с широко раскрытым ртом — всё это может сместить диск, вызвать щелчок или блок. Я в кресле всегда даю паузы и опоры — это не прихоть, а профилактика микротравм.
Диагностика сегодня: без гаданий и «на глаз»
Что изменилось за последние 2–3 года
Я мягко актуализирую подходы. Мы перестали «угадывать». Сейчас доступны:
- Цифровая аксиография и 3D-трекинг движения челюсти — объективные траектории мыщелка, не догадки.
 - Поверхностная миография — графики работы мышц в покое и под нагрузкой.
 - Доступное МРТ ВНЧС по показаниям — диск, капсула, признаки воспаления.
 - AI-помощники для анализа КТ/фото/сканов — находят асимметрии и «ранние звоночки».
 - 3D-сканы зубов + фото/видео лица — моделируем, как изменится высота нижней трети, улыбка, дикция.
 

Как проходит первая встреча
- Разговор — привычки (дневное стискивание), сон, стресс, работа, поза, дыхание.
 - Функциональные тесты — амплитуда, отклонения, щелчки/крепитация, болезненность мышц жевательной группы и шеи.
 - Окклюзионный скрининг — где «цепляет», где «провал». Комбинирую цифровую карту контактов и бумажные индикаторы.
 - План-прогноз — показываю на экране, что будет, если «оставить как есть», и что — если восстановить высоту, контакты, зубы.
 
Диагностика — не про «красивые картинки». Это карта ремонта вашего «дома».
Микро-история №1: «настроить пианино, а не ломать инструмент»
Людмила, 38 лет: щелчок челюсти слева, утренняя тяжесть, эпизоды головной боли.
Аксиография — ранний сдвиг диска, КТ — уплощение суставной поверхности, 3D-скан — «короткие» пломбы, потеря шестого зуба.
План: жёсткая индивидуальная шина ночью, мягкая коррекция контактов, физиотерапия → возврат высоты на временных коронках → имплант на место моляра.
Через 6 месяцев щелчок ушёл, открывание стало симметричней, голова «отпустила».
«Как будто дыхание стало глубже… и челюсть перестала жить своей жизнью», — её слова.

Частые ошибки пациентов (и почему они бьют по суставу)
Ошибки врачей — да, так тоже бывает
- Протезирование без восстановления высоты, «коронки на глаз».
 - Ортодонтия без гнатологии: зубы ровные, сустав обижен.
 - Игнор парафункций: сделали красиво, но пациент продолжает стискивать.
 
Три пути лечения заболеваний ВНЧС: щадящий, рациональный и радикальный.
Представьте дом. Где-то достаточно подкрасить, где-то — заменить окно, а иногда — переложить фундамент. Так и здесь.
Щадящий путь: аккуратно снять воспаление и тонус
Цель — уменьшить боль, снять гипертонус мышц, дать суставу «вдохнуть».
- Поведенческая терапия парафункций: «маяки» против стискивания днём, дыхательные паузы, гигиена сна.
 - Ночная жёсткая индивидуальная шина (фрезерованная/3D-печатная из биосовместимого полимера).
 - Физиотерапия, ЛФК для шеи/лопаток, тейпирование по показаниям.
 - Локальная фармакотерапия при активном воспалении.
 

Рациональный путь: устранить причину, а не только симптомы
Цель — стабилизировать окклюзию и траектории движения.
- Точная коррекция контактов зубов, временное поднятие высоты (mock-up).
 - Замена старых коронок/пломб на анатомичные (e.max, диоксид циркония, керамокомпозит).
 - Ортодонтия (элайнеры/брекеты) под сустав, а не ради «ровной фотографии».
 - Поддерживающая шина на период перестройки.
 

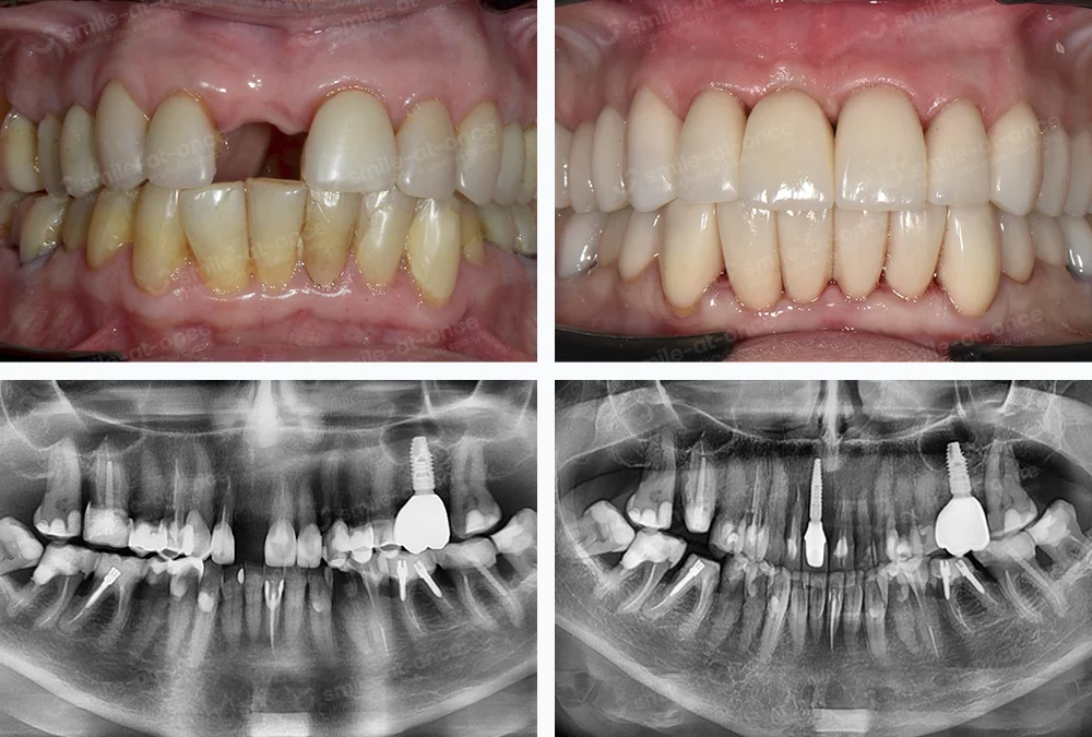
Радикальный путь: новый фундамент для «дома»
Показан при тяжёлой стираемости, множественных утратах зубов, деформациях прикуса.
- Комплексное протезирование с восстановлением окклюзионной высоты на всех зубах.
 - Имплантация и несъёмные конструкции по показаниям; при необходимости подключаю хирурга-имплантолога Евгения Жиленко.
 - Современные протоколы полной реабилитации (All-on-4/All-on-6, гибкие схемы с немедленной нагрузкой), цифровое планирование, хирургические шаблоны.
 

За последние годы — скачок материалов: керамокомпозиты на титане, многоосевая фрезеровка диоксида циркония, биополимеры для зубных шин. Они мягче по нагрузке и добрее к суставу.
Шины: чем они отличаются (и зачем разные)
| Тип шины | Задача | Кому подходит | Примечание | 
|---|---|---|---|
| Жёсткая окклюзионная | Разгрузка жевательных мышц, стабилизация контактов | Ночной бруксизм, мышечная боль | Индивидуально фрезерованная/печатная | 
| Позиционирующая | Центрирует нижнюю челюсть | Смещения, щелчки | Носится курсами под контролем | 
| Миорелаксационная | Снижает гипертонус | «Дневные стискиватели» | Лёгкая, чаще дневная | 
| Диагностическая | «Примерка» новой высоты | План полной реабилитации | 2–6 недель | 

Выбор имплантационных систем: как я это решаю
Когда речь доходит до имплантов, я выбираю систему под задачу, а не «бренд ради бренда». Для тотальных работ часто беру Nobel Biocare или Straumann — они предсказуемы при немедленной нагрузке и дружат с цифровым планированием. При локальных задачах уместны и Osstem/Neodent: надёжные решения с хорошей протетикой. Смысл прост: чем стабильнее «опоры», тем спокойнее ВНЧС. Совет: спрашивайте у врача, почему выбран конкретный имплант и как это защитит ваш сустав.

Цифровое моделирование улыбки и прикуса
Перед протезированием я делаю цифровое моделирование: совмещаю 3D-сканы зубов, фото лица и траекторию движения мыщелка. Это как репетиция спектакля: мы видим высоту нижней трети, линии улыбки, будущие контакты. Так меньше сюрпризов и для эстетики, и для ВНЧС. Совет: просите показать «до/после» в цифре — решение принимать легче.
Этапы протезирования при полной реабилитации
Поэтапно это выглядит так: диагностика → шина/подготовка → временные конструкции с тестом высоты → контроль движений и контактов → постоянные реставрации. Я объясняю каждый шаг: зачем он суставу и вам. Совет: фиксируйте этапы в сервисной книжке, приходите на плановые осмотры — это продлевает срок службы протезов и удерживает ремиссию TMD (нарушений или дисфункций ВНЧС).
Мифы и мои короткие ответы на консультации
Генетика — стартовые условия. Контакты, утраченные зубы, парафункции — в наших руках.
Щелчок = смещение диска. Может быть без боли, но «нормой» это не становится — наблюдаем, лечим причину.
Шина — инструмент, а не волшебная палочка. Она не заменит моляры и не исправит скученность, но даст суставу «передышку».
Сравним «триггеры» и решения — на одной картинке
| Фактор | Риск для сустава | Что делаем | 
|---|---|---|
| Потеря моляра | Перегрузка соседних зубов, сдвиг траектории | Имплант/мост; шина на период адаптации | 
| Бруксизм, кленчинг | Микротравмы диска/капсулы, стираемость эмали | Шина для защиты зубов во сне и днем | 
| Высокая пломба | Ранний контакт → смещение | Коррекция окклюзии, контроль в динамике | 
| Осанка «голова вперёд» | Смещение нижней челюсти вперёд/вниз | ЛФК (физиотерапия) шеи/лопаток, эргономика рабочего места | 
| Ротовое дыхание | Низкое положение языка | Миофункциональная терапия, при необходимости консультация ЛОРа | 
| Гипермобильность | Нестабильность связок | Нагрузки дозированно, контроль шиной | 

Микро-истории №2–4: разные темпераменты — один результат

Что нового в материалах и протоколах (актуализация)
- Фрезерованные шины и 3D-каппы из биосовместимых полимеров — точнее, тише, комфортнее.
 - Керамокомпозиты на титане для тотальных протезов — легче, ремонтопригоднее, мягче по нагрузке.
 - Высокопрочный многослойный цирконий — эстетика + точная геометрия контактов.
 - Цифровое планирование (сканы, фото, аксиография) — лечим систему, а не «отдельный зуб».
 - Ортодонтия под сустав — элайнеры стали предсказуемее для сложных перемещений.
 
Небольшой чек-лист самодиагностики: стоит ли показаться гнатологу
- Утренние головные боли / «ватная» челюсть.
 - Щелчок, клацанье, эпизодический блок при открывании.
 - Усталость мышц при жевании твёрдой пищи.
 - Чувство «коротких» зубов, стачивание, сколы.
 - Привычка стискивать зубы днём, треск в суставе при зевке.
 - Храп, сон поверхностный, рот периодически приоткрыт.
 

С другой стороны, план всегда можно разбить на этапы: сначала снимаем боль и перегрузку, затем — стабилизируем контакты, и уже после — эстетика и имплантация. Такой темп при заболеваниях ВНЧС уменьшает стресс и даёт предсказуемость по бюджету.
Цены ориентировочные: сумму уточняю после диагностики
Я люблю честность на старте. Ниже — примерные диапазоны, чтобы понимать порядок цифр. Точная смета — после диагностики (у каждого исходные данные разные).
| Этап/услуга | Ориентир, ₽ | 
|---|---|
| Консультация гнатолога | 3 000–5 000 | 
| КТ челюсти/сустава (по показаниям) | 3 500–5 000 | 
| Функциональная диагностика (аксиография, сканы, фото) | 15 000–30 000 | 
| Консилиум (ортодонт + гнатолог, план + слепки/сканы) | ≈10 000 | 
| Индивидуальная шина (жёсткая, фрезер/печатная) | 25 000–45 000 | 
| Ортодонтия: металлические брекеты | 105 000–125 000 | 
| Ортодонтия: керамические брекеты | от 130 000 | 
| Элайнеры (полный курс) | от 175 000 | 
| Замена коронок/виниров (за единицу) | зависит от материала (композит/керамика/цирконий) | 
Мы всегда обсуждаем этапность: как распределить лечение, чтобы было комфортно и финансово, и по времени. Если план подразумевает имплантацию и протезирование — проговариваю разницу между временными и постоянными конструкциями, сроками адаптации и, главное, как это влияет на сустав.

Частые вопросы на приёме — коротко, по делу
Больно ли делают диагностику?
Нет. Из «ощутимого» — только бумажные индикаторы контактов и, иногда, легкая усталость от фотосъёмки/сканов.
Почему нельзя начать сразу с коронок?
Потому что «сверху» будет красиво, но фундамент (окклюзия, траектории) останется кривым — и заболевания ВНЧС вернутся.
Сколько носить шину?
Индивидуально. В среднем — от нескольких недель (диагностическая) до месяцев (ночная). Всегда контролируем по данным повторной аксиографии/миографии.
Всегда ли нужен ортодонт?
Нет. Но если зубы «стоят поперёк движения» — без перестановки мы не стабилизируем сустав.
Когда «радикально» — это правильно
Бывает, пациент приходит с тотальной стираемостью, отсутствием нескольких ключевых опор, «упавшей» высотой и хроническими ТМЖ-расстройствами. Здесь «подкрасить стены» не выйдет. Мы честно обсуждаем полную реабилитацию: импланты по протоколам All-on-4/6, временные адаптационные протезы, затем — постоянные керамокомпозитные или циркониевые конструкции. Это одновременно и эстетика, и грамотная опора для сустава.
Я всегда показываю путь на модели и в цифровом планировании — чтобы вы видели, как меняется не только улыбка, но и геометрия движений.

Отзывы моих пациентов
Марина, 42 года
— Андрей, 36 лет
— Ольга, 58 лет

— Игорь, 31 год
— Светлана, 47 лет
Профилактика: что можно сделать уже сегодня
Маленькие шаги с большим эффектом
- Контроль дневного стискивания: заметили — расслабили губы и язык, сделали «микродыхание» (небольшой вдох).
 - Гигиена сна: темнота, прохладно, без экранов за 60 минут до сна.
 - Рабочая поза: монитор на уровне глаз, стопы на полу, плечи вниз.
 - Питание: меньше «жвачек» и «жесткого» (вяленое мясо, сухари), больше воды.
 - Своевременная замена изношенных пломб/коронок: это не «про красоту», это про нагрузку.
 

Красные флажки — лучше прийти раньше
- Щелчок/щелчки при открывании, утренняя тяжесть в челюстях.
 - Боль перед ухом, «уставшая» челюсть к вечеру, ограничение открывания.
 - Головные боли «ободком», звон в ушах, чувство «песка» в челюсти.
 - Стираемость, сколы, «укороченные» зубы, миграция зубного ряда.
 
Итог: путь к спокойной челюсти
Заболевания ВНЧС — это история про баланс. Про то, как сделать так, чтобы зубы смыкались «по нотам», мышцы работали без перенапряга, а сустав двигался без боли и щелчков. Иногда достаточно шины и нескольких привычек. Иногда — ортодонтии и обновления коронок. В сложных случаях — полной реабилитации с имплантами и протезами нового поколения. Но в каждом случае у нас есть выбор: щадящий, рациональный и радикальный — и мы примем решение вместе.
Готовы ли вы снова жевать без тревоги и улыбаться без тени сомнения? Запишитесь на консультацию — разберем ваш случай, покажу на экране, почему именно у вас возникли симптомы, и предложу план, который будет реальным по времени, бюджету и ощущениям.
Я рядом. И у вашей челюсти есть все шансы жить тихо.